El centro urológico de alta especialidad UROVALLARTA
El Centro Urológico de Alta Especialidad UROVALLARTA cuenta con una Unidad de Salud Prostática, especializada en el diagnóstico y tratamiento de problemas prostáticos. Nos enfocamos en comprender las expectativas de cada paciente, como la recuperación de la continencia, la preservación de la función eréctil y, en casos especiales, la preservación de la eyaculación, para brindar una atención integral y personalizada.
Nuestra unidad ofrece tratamientos avanzados, con tecnología de última generación y técnicas mínimamente invasivas, utilizadas en prestigiosos centros de Estados Unidos y Europa.
Síntomas comunes:
- - Dificultad para orinar
- - Se levanta constantemente a orinar en la noche
- - El chorro de su orina se corta o es de menor fuerza
- - Sangre en orina o sangre en semen
- - Eyaculación dolorosa
Saber más:
(https://patients.uroweb.org/es/crecimiento-benigno-de-prostata/)
Los principales problemas que aquejan la próstata se pueden clasificar en prostatitis (infecciosos), crecimiento prostático benigno o cáncer de próstata.
Crecimiento prostático benigno:
Opciones de tratamientos

Resección Bipolar de Próstata:
La resección bipolar de próstata es un procedimiento mínimamente invasivo que permite una rápida recuperación. Se realiza a través de la vía urinaria, lo que minimiza la invasión y facilita el retiro del tejido prostático mediante un arco de plasma. Esta técnica reduce significativamente el riesgo de sangrado y no produce efectos indeseables como incontinencia urinaria o disfunción eréctil.
Es especialmente recomendada para casos de crecimiento prostático de tamaño medio y se lleva a cabo de forma ambulatoria, garantizando un control preciso para evitar hemorragias.

Rezum:
Rezum es un procedimiento de vanguardia, con tecnología innovadora disponible en México, y UROVALLARTA es uno de los pocos centros que ofrece este tratamiento.
Consiste en la inyección de vapor de agua estéril directamente en el crecimiento prostático. Este vapor genera una destrucción controlada del tejido prostático que causa los síntomas, sin afectar las áreas circundantes.
La técnica permite una recuperación rápida, y el paciente puede regresar a su hogar y retomar sus actividades con mínimas limitaciones. Es ideal para quienes buscan mantener una buena función de eyaculación y mejorar la salud urinaria.

Láser (HOLEP – THULEP):
El procedimiento HOLEP es una técnica mínimamente invasiva avanzada que utiliza un láser para enucleación prostática, es decir, para extraer el tejido prostático en exceso. A través de la uretra, el láser corta y extrae cuidadosamente el crecimiento de la próstata, lo que minimiza el sangrado y acelera la recuperación en comparación con los procedimientos tradicionales.
Este tratamiento es ideal para pacientes con próstata de mayor tamaño, ya que permite retirar grandes volúmenes de tejido de manera precisa y segura. Al no realizar incisiones externas, el riesgo de complicaciones es mucho menor, y la recuperación es rápida, permitiendo al paciente retomar sus actividades cotidianas en poco tiempo. Además, al ser un procedimiento menos invasivo, los beneficios incluyen menos dolor postoperatorio y menor tiempo de estancia hospitalaria.
En UROVALLARTA, contamos con esta tecnología de vanguardia para garantizarle un tratamiento eficaz, seguro y con excelentes resultados.

HIFU (Ultrasonido Focalizado de Alta Intensidad):
HIFU es un tratamiento no invasivo que utiliza ultrasonido de alta intensidad para eliminar de forma precisa el tejido prostático afectado. A través de un equipo especializado, el ultrasonido se concentra en puntos específicos de la próstata, destruyendo solo el tejido que está causando los síntomas.
El procedimiento se realiza con la guía de ultrasonido en tiempo real, lo que permite una gran precisión al dirigir el tratamiento exactamente donde es necesario, sin dañar áreas sensibles como los esfínteres o nervios. Esto ayuda a preservar funciones importantes, como el control de la orina, la capacidad de tener erecciones y, en muchos casos, la eyaculación.
HIFU es una opción avanzada para quienes buscan un tratamiento efectivo y mínimamente invasivo, con una recuperación rápida y menos riesgos.
Cáncer de Próstata:
Opciones de Tratamientos
En UROVALLARTA, ofrecemos un enfoque integral y personalizado para el manejo del cáncer de próstata, siguiendo los más altos estándares internacionales y los protocolos utilizados por los mejores centros del mundo. Nuestra unidad de Salud Prostática utiliza las últimas técnicas y tecnologías para tratar el cáncer en cada una de sus etapas, asegurando el mejor plan de tratamiento para cada paciente.
Nuestro enfoque se basa en el modelo de diagnóstico, tratamiento y seguimiento utilizado por el prestigioso University College of London, lo que nos permite ofrecer una atención especializada y adaptada a las necesidades individuales de cada paciente. Con nosotros, tienes acceso a las opciones más avanzadas y efectivas para el manejo del cáncer de próstata.
Saber más: (https://patients.uroweb.org/es/cancer-de-prostata/)
Diagnóstio de presición

Evaluación médica y prueba de sangre: el primer paso en la prevención:
El primer paso para cuidar la salud de la próstata es una evaluación médica acompañada de una prueba de sangre llamada antígeno prostático específico (PSA). Esta prueba mide los niveles de una proteína producida por la próstata, y nos ayuda a detectar posibles señales tempranas de problemas como el cáncer de próstata.
Si los resultados muestran alguna alteración, el médico indicará estudios adicionales para confirmar o descartar cualquier enfermedad.

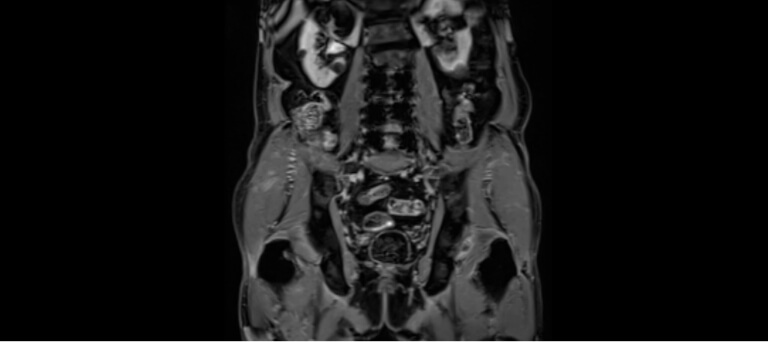
Resonancia Magnética Multiparamétrica de Próstata:
La resonancia magnética multiparamétrica (mpMRI) es una técnica de imagen avanzada, no invasiva, que permite visualizar la próstata con gran detalle y precisión.
Actualmente recomendada por guías internacionales en Estados Unidos y Reino Unido, esta prueba ayuda a identificar la presencia de lesiones con características sospechosas de cáncer, sin necesidad de procedimientos invasivos.
En nuestra Unidad Urológica contamos con esta tecnología, disponible en pocos centros en México, lo que nos permite ofrecer diagnósticos más precisos y personalizados para cada paciente.

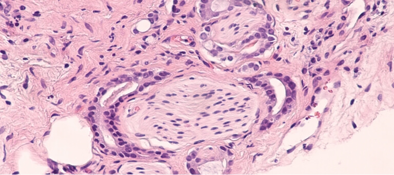
Biopsia transperineal:
Cuando si se encuentran imágenes sugestivas de tumoración maligna se procede a la toma de biopsia transperineal, esta se realiza tomando muestras pequeñas de la próstata guiada por ultrasonido a través del periné (región entre testículos y ano). Este tipo de biopsia se ha convertido en el estándar internacional, ya que a diferencia de la forma convencional transrectal, conlleva un menor riesgo a infecciones, abscesos o bacteriemia (bacterias en sangre).
Opciones de tratamientos

HIFU: Ultrasonido Focalizado de Alta Intensidad
El tratamiento con HIFU (High Intensity Focused Ultrasound) es una opción mínimamente invasiva y sin cirugía para tratar el cáncer de próstata de forma precisa y controlada.
Este método utiliza ondas de ultrasonido de alta intensidad para generar calor y eliminar únicamente el tejido afectado por el cáncer, preservando funciones importantes como la continencia urinaria y la función eréctil.
En la Unidad de Salud Prostática de UROVALLARTA, somos uno de los pocos centros urológicos en México que cuenta con esta avanzada tecnología, ofreciendo a nuestros pacientes una alternativa eficaz, segura y con una rápida recuperación.

PROSTATECTOMÍA RADICAL
La prostatectomía radical es una cirugía que consiste en la extirpación completa de la próstata, así como de los tejidos cercanos que pudieran estar afectados por el cáncer.
En nuestra Unidad Urológica realizamos este procedimiento mediante técnica laparoscópica, una forma moderna y menos invasiva de operar, que se realiza a través de pequeñas incisiones.
Gracias a esta tecnología, se logra una cirugía con menos sangrado, menor dolor postoperatorio, recuperación más rápida y una estancia hospitalaria más corta en comparación con la cirugía abierta tradicional.
Contamos con un equipo altamente especializado en este tipo de procedimientos, enfocado en brindar seguridad, precisión y calidad en el tratamiento del cáncer de próstata.

RADIOTERAPIA
Cuando el cáncer de próstata muestra signos de invasión más allá de la glándula, como en los ganglios linfáticos cercanos, una opción de tratamiento eficaz es la radioterapia.
En UROVALLARTA, en colaboración con la Clínica de Radioterapia de Occidente, ofrecemos este tratamiento avanzado que utiliza radiación ionizante para eliminar las células cancerígenas que se encuentran alrededor de la próstata.
Contamos con equipos de última generación, lo que permite dirigir la radiación con gran precisión y reducir al mínimo los efectos secundarios en órganos cercanos como el recto o la vejiga. Esto se traduce en una mejor experiencia para el paciente y menos molestias en comparación con tecnologías más antiguas.

Medicina Nuclear: Tratamiento con PSMA-Lutecio
En UROVALLARTA contamos con tecnología de medicina nuclear de última generación, incluyendo el tratamiento con PSMA-Lutecio, una opción avanzada utilizada en Estados Unidos, Europa y en pocos centros en México.
Este tratamiento está indicado para pacientes con cáncer de próstata metastásico en etapas avanzadas, y consiste en administrar una sustancia radiactiva que se une específicamente a las células cancerígenas, liberando radiación directamente sobre ellas y eliminándolas de forma precisa, sin dañar en exceso los tejidos sanos.
El PSMA-Lutecio ha demostrado ser una alternativa eficaz para mejorar la calidad de vida y el control de la enfermedad en casos seleccionados.
Médicos especialistas
Conozca a nuestro equipo médico, quienes con gusto lo atenderán

Dr Carlos M García Gutiérrez
Urología / Endurología
El Dr García es un profesor renombrado de la tecnología de Ultrasonido Focal de Alta Intensidad (HIFU) con de más de 19 años de experiencia en esta técnica, más de 800 casos exitosos, quien además es profesor internacional de esta tecnología con la compañía Norteamericana SONABLATE HIFU habiendo impartido clases magistrales sobre el uso de esta tecnología en centros urológicos en 9 países de 3 continentes (el último siendo china visitando 12 centros urológicos durante agosto del 2023).